Periodoncia
No, las encías no deben sangrar
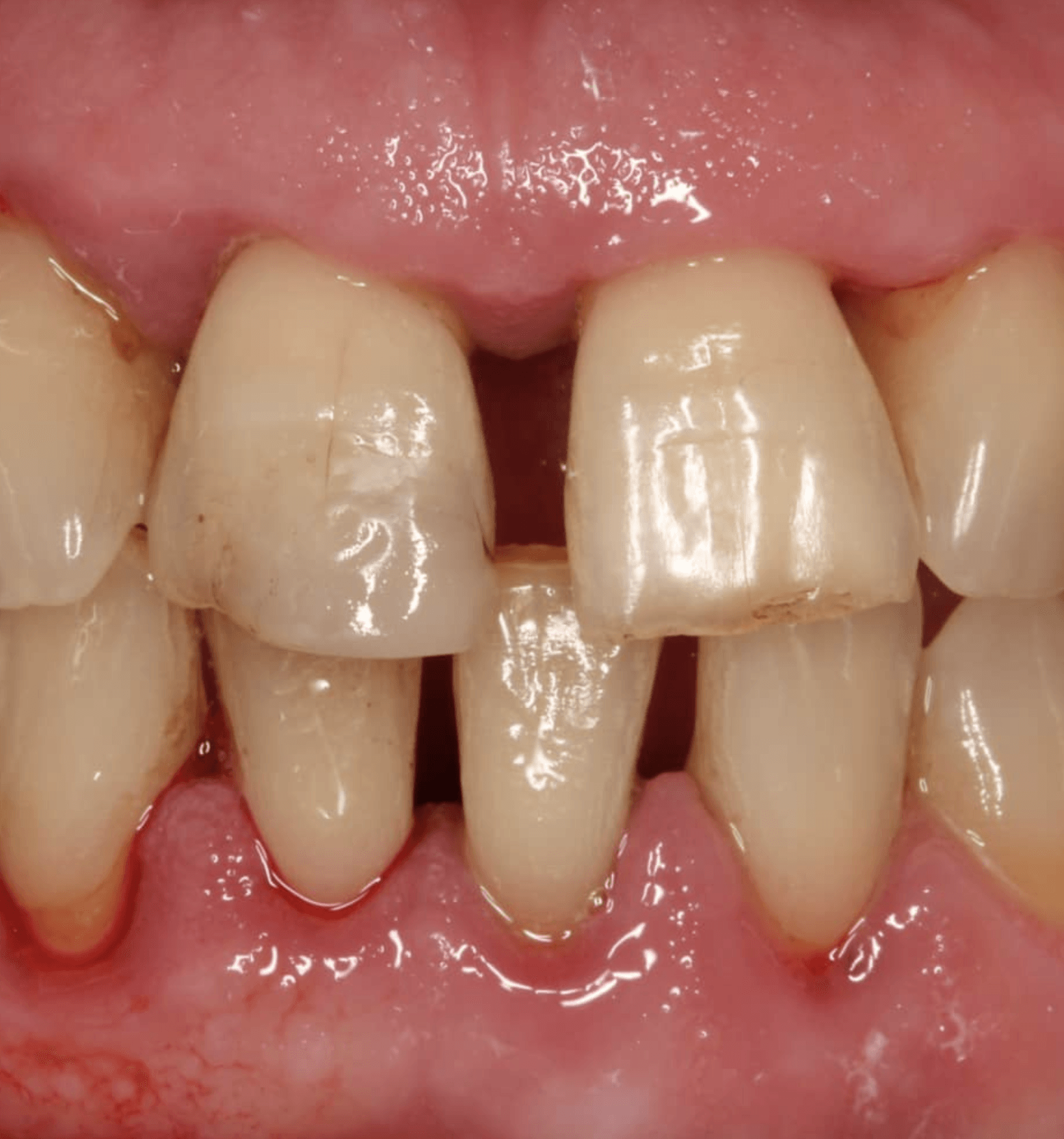
Si notas mal sabor de boca, mal aliento, te sangran las encías o las ves inflamadas, es posible que tengas un problema periodontal y debes acudir a que te revisemos.
¿Qué son los problemas periodontales?
El periodonto está compuesto por todos los tejidos y estructuras que rodean al diente. Cuando se acumula placa bacteriana (suciedad) entre encía y dientes, y no es eliminada pronto, esta comienza a endurecerse dando lugar al cálculo o sarro. Los problemas de encías principales son:
- Gingivitis: Sangrado de las encías que se produce por inflamación de las mismas, normalmente se resuelve con una limpieza dental profesional y con unas instrucciones de higiene adecuadas.
- Periodontitis: Vulgarmente conocida como "piorrea", es la evolución del problema de la gingivitis, influyen factores como el tabaco, o la falta de higiene entre dientes, entre otros. Se diferencia de la gingivitis en que comienzan a destruirse los tejidos periodontales, pudiendo verse los dientes más largos e incluso llegando a presentar movilidad. El tratamiento en este caso iría desde el raspado y alisado radicular (también conocido como curetaje) hasta procedimientos quirúrgicos más avanzados.



