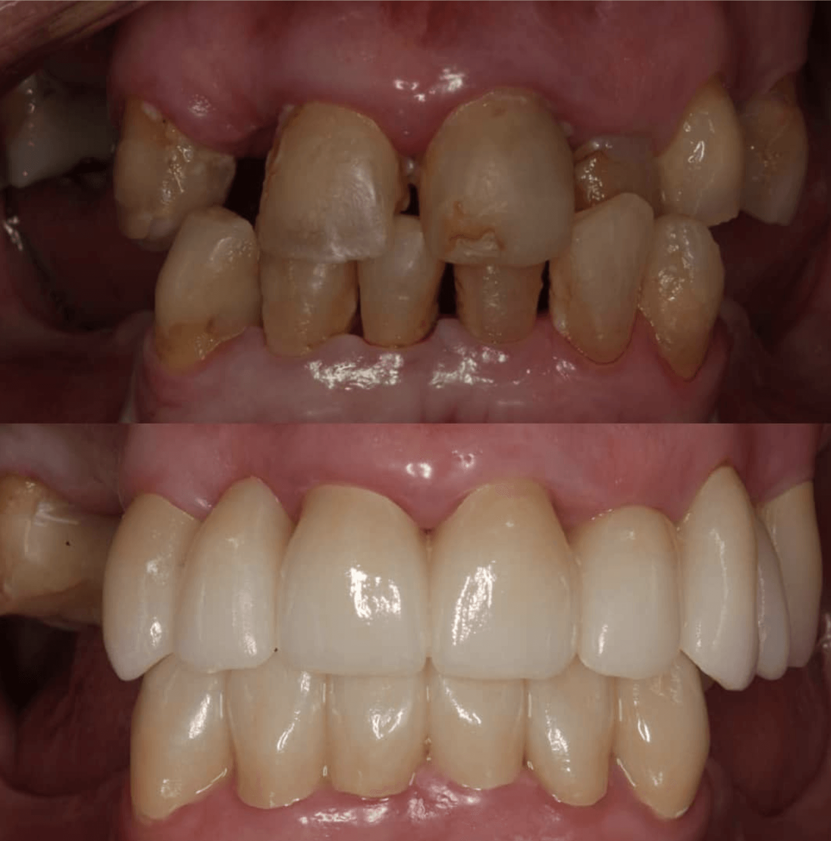
Coronas, Carillas y Puentes
Una excelente forma de mejorar tu estética
La prótesis fija nos permite reponer piezas que falten, o modificar la forma, color y apariencia de los dientes.
¿Porqué realizar procedimientos de prótesis fija?
En muchas ocasiones podemos tener dientes muy desgastados, o con colores que sabemos de antemano que un blanqueamiento no va a ser suficiente para mejorar la estética. También podemos modificar la forma de los dientes o reponer piezas perdidas mediante puentes.
Otra alternativa para la estética es la realización de carillas, mediante las cuales en pocas sesiones de consulta podrás mejorar la apariencia de tu sonrisa.
Hay ocasiones en las que se realizan tratamientos en dientes muy destruidos, y una corona puede ser una forma ideal de reponer la estructura dental perdida.
En definitiva, existen multitud de indicaciones para realizar este tipo de tratamientos, pero deben estar bien seleccionadas de un modo personalizado para cada paciente.


