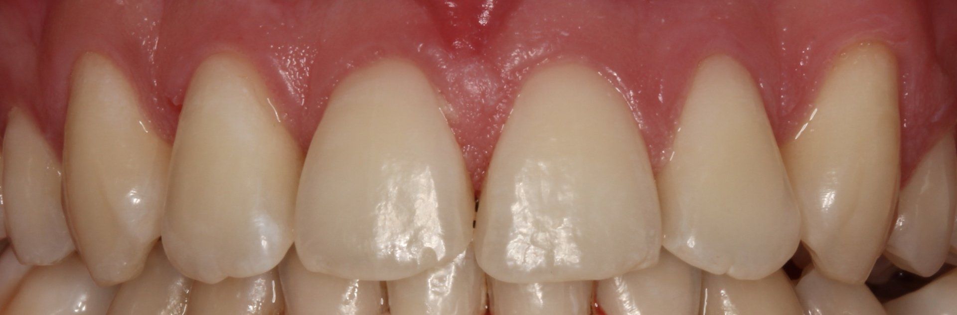
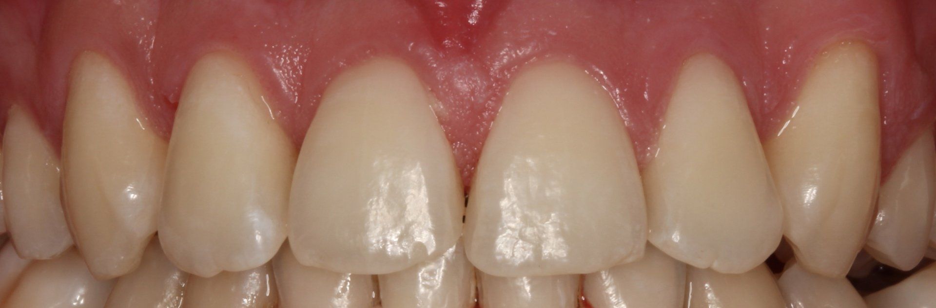
Blanqueamiento dental
Si quieres lucir unos dientes más blancos
Con este tratamiento no se daña el esmalte de los dientes, utilizamos un producto que aclara el tono de tus dientes siendo muy respetuoso con su estructura.
¿Cómo realizamos los blanqueamientos?
Los productos que utilizamos estan basados en componentes que eliminan las manchas que se forman dentro de unos cristales que conforman el esmalte del diente.
Normalmente realizamos un tratamiento combinado en el que se realiza una sesión en consulta en la que se aplica un gel sobre los dientes que se activa con una lámpara especial. A partir de ese momento, se fabrican unas férulas (como unos protectores bucales) ajustados a medida del paciente en los que se continúa el tratamiento en casa, acudiendo a revisiones para cualquier molestia que pudiera aparecer.




